カテゴリー:
こんにちは!
歯科衛生士の平川です⑅◡̈*
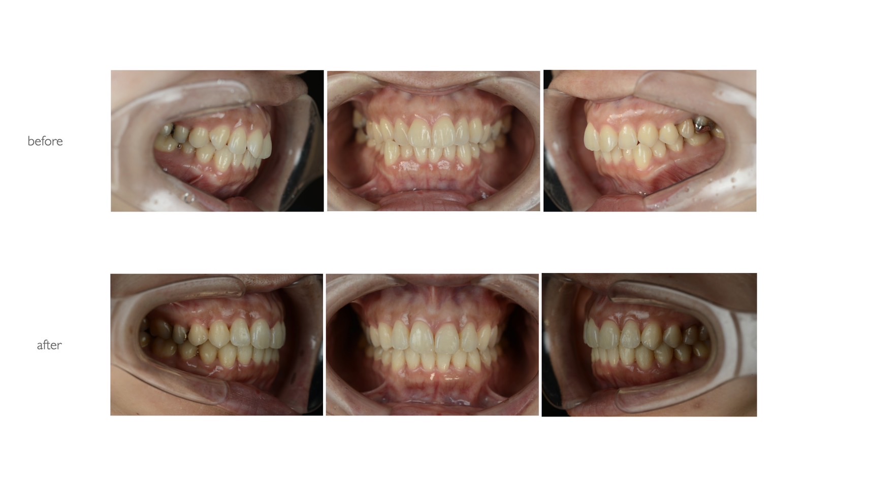
みなさんの中でこんなお悩みを持つ方はいらっしゃいませんか?
- 前歯が昔に比べて少しずつ出てきていて気になる
- 下の歯が内側に倒れている
- ガイドがない為、左上に負担がかかり痛みが出てきた
本日はこんな歯並びを綺麗にするワイヤー矯正についてご説明します!
ワイヤー矯正を選択するメリット
ワイヤー矯正(ブラケット矯正)のメリットは下記の通りです。
- インビザラインより矯正期間が短い
- インビザラインに比べて自己管理しなくて済む
非抜歯矯正の流れ
非抜歯で矯正を行うには下記の内容が必須となります。
親知らずを全て抜歯し、そこにミニインプラントを埋入すること。
また、ディスキング(歯と歯の間を削ること)をすることです。
- ミニインプラントを4本埋入後、そこを軸に後ろに下げていく。それにより歯と歯の間にスペースができるで下の歯の叢生の部分を並べていく。上の前歯も後ろに下げる。
- 内側に倒れている歯はゴムやワイヤーだけでは真っ直ぐに起こすことが難しいため、ゴムメタル(マリガン)を使用。
- パワーチェーン(ゴム)の交換を3週間に1回行い、ワイヤーを定期的に交換。
上記の3つと合わせてディスキングを行います。
矯正中の注意点
食事について
矯正中は人によって食べ物が限られる場合があります。
人によっては弾力のあるお肉や繊維物の野菜類は噛む時に痛みがでたり、麺類はブラケットやワイヤーに絡むので、食事には色々苦労することもあります…。
その為少し柔らかめのご飯や煮物やスープ、卵料理、蒸しパン、バナナなどを摂るのをお勧めします!
ただこれはとても個人差があります。
噛んでも痛みを伴わない方は普通に何でも食べられます。その場合、何でも食べられる分、力が加わりブラケットが脱離しやすくなるので注意が必要です。
お手入れについて
ブラケット矯正は歯磨きが大変です。
ブラケットやワイヤーに食べ物が詰まりハブラシだけでは除去することができません。
そのため、以前こちらのブログにも挙げましたが(2023.5.29掲載)
ハブラシ、歯間ブラシ、フロス、フッ素洗口を徹底して行うようにしましょう。
矯正中の歯の痛みについて
矯正期間は、日中ずっと痛みがあるわけではなく、主に痛みがあるのはゴムやワイヤーを交換後の3日くらいです。後は人により食事中です。
⚠️矯正中はゴムなどで引っ張っているのでどなたでも多少なりとも痛みを伴います。噛んで痛いのは歯が動いているためです。
⚠️ブラケットやワイヤーなどで口内炎が出来ることもあります。その場合は口内炎のお薬を処方できます。
まとめ
このように矯正は美しい歯を手に入れるために、注意することがいくつかあります。
ただ、矯正の注意点を意識して過ごし、気を付けることで、
比較的スムーズに矯正治療を行うことが可能です。
歯並びでお悩みがある方はぜひご相談ください。

施術内容 : ブラケット矯正 + ミニインプラント
治療期間 : 9か月~2年
費用 : 矯正70万円 + ミニインプラント15,000円×4
リスク : 矯正中痛みを感じることがある