電話TEL

blog

カテゴリー:

小児歯科・小児矯正・咬合育成

  • 子供の矯正治療!何歳から始めれば良いの?  スタッフブログvol.60 

    小児歯科・小児矯正・咬合育成矯正治療

    こんにちは。DAの角です。今回のブログは小児矯正のお話を少ししたいと思います😊お子さんの歯並びが気になった事がある親御さんで、「子供の矯正っていつから?」と疑問に思われてる方もいらっしゃると思います。矯正はその時の口腔内の状況やまだ生えてき...

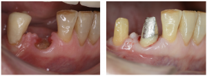
  • 歯を抜かない!根っこだけになってしまった歯を救う方法! スタッフブログVol.10

    ブログ治療のことスタッフブログ小児歯科・小児矯正・咬合育成

    こんにちは!Drの徳永です。今回のブログでは、ムシ歯で根っこだけになってしまった歯(ステージでいうとC4の歯)を救う治療法!についてお話しますね。「被せ物が外れてだいぶ経つ、もう歯医者に行ってもきっともダメだ」通常、そんなC4の歯は虫歯が大...

  • 【すきっ歯⁉︎大丈夫?】

    ブログ小児歯科・小児矯正・咬合育成

    本日、検診で来られたお子さんお母様が「うちの子、結構、歯が空いてこのままどうなるかが心配なんです。」という相談を受けました。 実はこれ、すごく良い事なんです。最近、あんまりこういう歯並びの子を見ることが少なくなったのでついパシャリ...

  • 【小児矯正はいつから出来るの?】

    ブログ小児歯科・小児矯正・咬合育成

    お母様方からよく聞かれる「小児矯正はいつからするのが良いですか?」色々な考えがあるのんです。 ・大人の歯が全てが並んでから始める方法・大人になっての矯正が楽になるように子供のうちから始めていく方法・子供のうちから始めてそれで出来る...

  • 反対咬合は3歳からでも!

    ブログ小児歯科・小児矯正・咬合育成

    昨日の内覧会で多く聞かれた質問です!矯正はいつからした方が良いの?色々理由があって話が長くなるので結論だけをまとめると・反対咬合(受け口は少しでも早く3〜4歳からでも)   ・他の場合は6歳に検査を行って検討する →当院のオススメの一期矯正...