カテゴリー:
こんにちは。DAの角です😊
この3月でご卒業、ご卒園を迎えられたお子様方親御さん方、おめでとうございます🌸
4月からは新しい生活の始まりですね!
私の子供も保育園を卒園し、4月からピカピカのランドセルをからって登校するのを楽しみにしています😊
さて、今回のブログでは治療前の検査のお話をしようと思います。
当院を受診された方は記憶にあるかとは思いますが、初診時にどんなお痛みがあるかなどのお話をお聞きする際に検査の内容をお伝えしています。
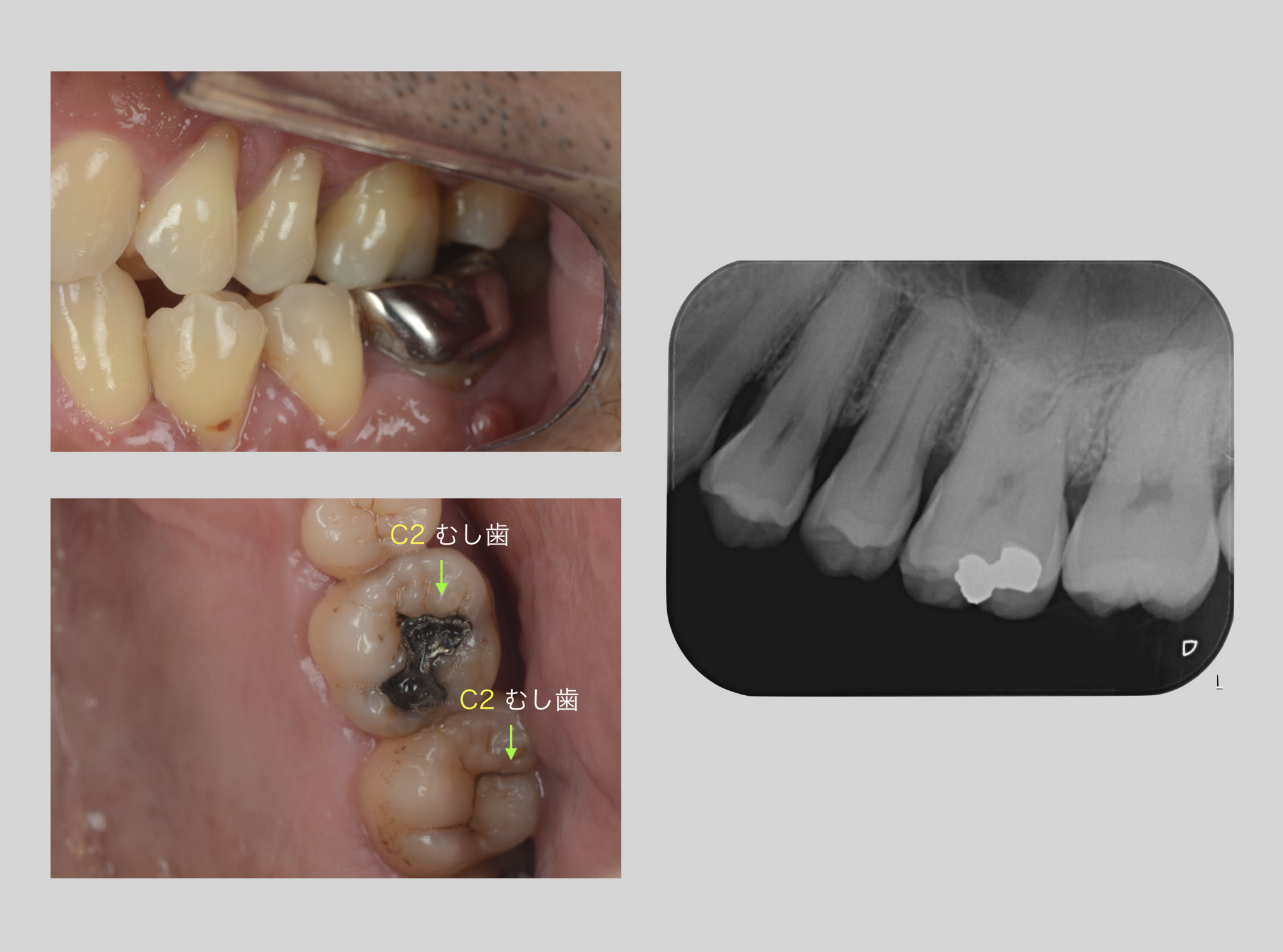
検査の内容は…
・レントゲン
・口腔内写真
・歯周病検査
これらを行うことをお伝えしています。
そして私達が大事にしている事。
「資料は必ず20枚ほどのレポートにまとめ、時間をしっかり取って説明を行います!」

検査結果はこのように ↑
こうすることによって、お口全体の情報が得られてより適切な処置が出来ますし、患者さんの生活スタイルに合わせて治療の予定が立てられるのです。
検査を全て行う場合少しお時間を頂いますが、とても大事な過程なので、ご理解のほどよろしくお願いします😌